Pneumocephalus: What You Need To Know

K.Notikumi 75 views
Pneumocephalus: What You Need To Know

Pneumocephalus: What You Need to Know

Hey everyone! Today, we’re diving into a topic that might sound a bit intimidating at first, but it’s super important to understand: pneumocephalus . Now, what in the world is pneumocephalus, you ask? Simply put, it’s a condition where air or gas accumulates in the space within the skull that’s normally filled with cerebrospinal fluid. Yeah, you heard that right – air in your head! It’s not as common as a headache or a stubbed toe, but when it happens, it can be pretty serious. Understanding pneumocephalus is key, especially if you’re in the medical field or have a curious mind about how our bodies work. We’re going to break down what causes it, how doctors diagnose it, and what treatments are available. So, buckle up, guys, because we’re about to explore this fascinating (and slightly spooky) medical mystery. We’ll cover everything from the different types of pneumocephalus to the potential complications that can arise, giving you a comprehensive overview of this condition. It’s crucial to remember that this information is for educational purposes and not a substitute for professional medical advice. Always consult with a qualified healthcare provider for any health concerns.

What Exactly is Pneumocephalus?

Alright, let’s get down to the nitty-gritty of pneumocephalus . Imagine your brain snug inside your skull, protected by a watery cushion called cerebrospinal fluid (CSF). This fluid is vital for cushioning your brain, providing nutrients, and removing waste products. Now, pneumocephalus occurs when air, or sometimes another gas, finds its way into the spaces where this CSF should be. This can happen in various locations within the cranial cavity, such as the subdural space, subarachnoid space, or even within the brain tissue itself (intraparenchymal). The amount of air can range from a tiny bubble to a significant collection that can put pressure on the brain. The term itself, ‘pneumo’ meaning air and ‘cephalus’ relating to the head, pretty much spells it out. It’s a condition that requires attention because excess air can disrupt the delicate balance within the skull, potentially leading to neurological symptoms. The pressure exerted by the air can impede blood flow and compromise brain function, making timely diagnosis and management crucial. We’re talking about conditions like tension pneumocephalus, where the air creates significant pressure, leading to rapid deterioration. Understanding the different anatomical locations where air can accumulate also helps in understanding the potential symptoms and the severity of the condition. It’s a complex interplay of anatomy and physiology that makes pneumocephalus a condition worth exploring in detail. We’ll be looking at the different mechanisms that allow air to enter these normally sterile spaces, which often involve some form of trauma or surgical intervention. The implications of air displacement within the intracranial environment are significant, impacting everything from intracranial pressure to the overall structural integrity of the brain. So, when we talk about pneumocephalus, we’re discussing a scenario where a foreign substance – air – disrupts the normally fluid-filled, protected environment of the brain, leading to a cascade of potential neurological issues that need to be addressed promptly.

Causes of Pneumocephalus: Why Does Air Get In There?

So, how does this air actually get into the skull, guys? It’s not like you’re suddenly breathing in through your ears! The causes of pneumocephalus are typically linked to either trauma or medical procedures. Traumatic pneumocephalus is probably the most common culprit. Think severe head injuries, like fractures of the skull, especially those involving the base of the skull or the paranasal sinuses (the air-filled cavities in your facial bones). When these structures are damaged, they can create a pathway for air from the sinuses or the respiratory tract to enter the cranial cavity. Imagine a crack in a wall – air can seep through. Post-surgical pneumocephalus is another major category. Any surgery involving the brain, sinuses, or even procedures like lumbar punctures (where fluid is drawn from the spine) can sometimes inadvertently allow air to enter. For instance, during neurosurgery, especially when the dura mater (the tough outer membrane protecting the brain) is opened, air can be introduced. Even if doctors try their best to remove all the air during closure, sometimes a small amount can remain and cause issues later. Spontaneous pneumocephalus is a rarer form, where pneumocephalus occurs without any obvious trauma or surgery. This can sometimes be associated with conditions that weaken the skull or dural integrity, or even issues with pressure gradients. Think of conditions like tumors that erode bone, or severe coughing fits that can increase pressure. Another significant cause, particularly relevant in certain medical contexts, is barotrauma . This refers to injury caused by pressure changes, like those experienced by divers or pilots, which can lead to air entering the cranial cavity through pre-existing weaknesses. In essence, any situation that breaches the natural barriers protecting the brain and introduces a pressure differential can potentially lead to pneumocephalus. It’s all about compromised integrity of the dural lining and the presence of an air source, whether it’s from the sinuses, lungs, or even introduced during a medical procedure. The key takeaway is that the skull and its protective membranes are usually very good at keeping things out, but when they’re compromised, air can find its way in, leading to this condition. Understanding these pathways is crucial for preventing and treating pneumocephalus effectively. We’ll delve deeper into how these different scenarios create the perfect storm for air to enter the cranial space.

Types of Pneumocephalus: It’s Not One-Size-Fits-All

Okay, so we know air can get into the skull, but did you know that pneumocephalus isn’t just one big category? Doctors often classify it based on where the air is located within the head. This classification is pretty important because the location can influence the symptoms and how serious the condition is. The most common type is subarachnoid pneumocephalus , where the air collects in the subarachnoid space, which is the space between the arachnoid mater and the pia mater, where the cerebrospinal fluid normally circulates. This can happen after head trauma or certain surgeries. Then there’s subdural pneumocephalus , where the air is found in the subdural space, between the dura mater and the arachnoid mater. This is often seen after significant head injuries or sometimes after procedures like a subdural tap. Intraparenchymal pneumocephalus is when the air bubbles are actually within the brain tissue itself. This is less common but can be quite serious. It might occur if air forces its way through the brain’s protective layers. Another critical distinction is intracranial pneumocephalus (which is essentially an umbrella term for the above) versus extracranial pneumocephalus , where air is present outside the dura but within the skull, like in the epidural space. A particularly concerning subtype is tension pneumocephalus . This isn’t a location-based classification but rather describes a situation where the air collects and expands, creating significant pressure within the skull. This is a medical emergency because the increased intracranial pressure can severely compromise brain function and blood flow. Think of it like a balloon inflating inside a rigid box – something has to give. The distinction between these types helps medical professionals pinpoint the source of the problem and anticipate the potential neurological effects. For instance, air in the subarachnoid space might cause meningeal irritation, while significant air in the subdural space could lead to mass effect and compression of brain structures. Understanding these nuances allows for a more targeted approach to diagnosis and treatment, ensuring that patients receive the most appropriate care for their specific presentation of pneumocephalus. It really highlights how diverse this condition can be and why a precise diagnosis is so vital.

Symptoms of Pneumocephalus: What Should You Watch Out For?

Now, let’s talk about what you might actually feel if you have pneumocephalus . The symptoms can vary wildly, depending on how much air is present, where it is, and how quickly it’s accumulating. Some people might have very mild symptoms, while others can experience severe neurological problems. One of the most common symptoms is a headache . This might not be just any headache; it can be severe, persistent, and sometimes worse when you sit up or stand. You might also experience nausea and vomiting , which are common signs of increased pressure inside your head. Neurological deficits are also a big concern. This can include things like weakness or numbness in parts of your body, difficulty speaking (aphasia), vision changes like blurred vision or double vision, and confusion or disorientation . In more severe cases, especially with tension pneumocephalus, you could see seizures , loss of consciousness , or even coma . Some people might also report ear discharge or nasal discharge , especially if the pneumocephalus is related to a sinus fracture, as this can indicate a connection between the sinuses and the cranial cavity. Another symptom that can occur, particularly with subarachnoid pneumocephalus, is neck stiffness or pain, similar to meningitis. It’s important to note that the onset of symptoms can be gradual or sudden. If pneumocephalus is due to a traumatic brain injury, symptoms might appear days or even weeks after the initial injury. If it’s post-surgical, symptoms might emerge shortly after the procedure. The ‘air-fluid level’ on imaging is a classic sign, but clinically, it’s the patient’s symptoms that prompt the investigation. The severity of symptoms is often directly related to the amount of air and the degree of intracranial pressure it creates. A small amount of air might cause only mild headaches, if any, whereas a large collection can lead to profound neurological impairment. So, while headaches are common, don’t dismiss other neurological changes. If you’ve had a recent head injury or surgery and are experiencing any of these symptoms, it’s crucial to seek medical attention immediately. It’s better to be safe than sorry, guys, especially when it comes to your brain!

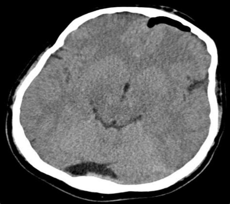
Diagnosis: How Doctors Find the Air

So, you’re experiencing some weird symptoms, and your doctor suspects pneumocephalus . How do they actually figure out if there’s air in your head? Well, it’s usually a combination of a thorough medical history, a physical examination, and most importantly, medical imaging. The doctor will ask about any recent head injuries, surgeries, or medical procedures you’ve undergone. They’ll also perform a neurological exam to check your reflexes, coordination, strength, and mental status. The real stars of the show, though, are the imaging techniques. Computed Tomography (CT) scan of the head is the gold standard for diagnosing pneumocephalus. CT scans are excellent at visualizing bone and detecting air, which appears as very dark areas on the scan. Doctors can clearly see the location and amount of air within the cranial cavity. They often look for a characteristic