Pseudogestational Sac: What It Is & Why It Matters

K.Notikumi 100 views
Pseudogestational Sac: What It Is & Why It Matters

Pseudogestational Sac: What It Is & Why It Matters

Hey everyone, let’s dive into something super important that can pop up during early pregnancy – the pseudogestational sac . You might be thinking, “What in the world is that?!” and guys, that’s totally normal. It’s not a topic you hear about every day, but understanding it can bring a lot of peace of mind. So, what exactly is a pseudogestational sac ? Simply put, it’s a fluid collection within the uterus that can sometimes mimic a true gestational sac, the one that holds your developing baby. It’s often seen in early pregnancy, and its appearance on an ultrasound can be confusing. The key thing to remember is that it does not contain a pregnancy . Instead, it’s typically formed due to hormonal changes associated with an actual pregnancy, even if that pregnancy isn’t developing as expected, or in cases of ectopic pregnancy . The lining of the uterus, called the endometrium, reacts to pregnancy hormones by thickening and secreting fluid. This fluid can then pool and create a sac-like structure. It’s crucial to distinguish this from a viable gestational sac because their implications for the pregnancy are vastly different. A true gestational sac is where the embryo implants and begins to grow, surrounded by specific membranes. A pseudogestational sac, on the other hand, is an empty space. The presence of a pseudogestational sac can sometimes be an early sign that a pregnancy might not be viable, or it could indicate an ectopic pregnancy , where the fertilized egg implants outside the uterus, most commonly in the fallopian tube. This is why prompt and accurate diagnosis by medical professionals is absolutely critical . They use ultrasound technology to carefully examine the uterus and surrounding areas, looking for specific characteristics that differentiate a true sac from a pseudo sac. These characteristics include the shape, location, and the presence (or absence) of an embryo or yolk sac within it. So, while the term might sound alarming, remember it’s a finding that requires careful interpretation by your doctor. It’s not a pregnancy itself, but rather a sign that your body is responding to hormonal changes, and it prompts further investigation to ensure everything is okay with your pregnancy journey. We’ll explore the causes, how it’s diagnosed, and what it means for your health in the sections below.

Understanding the Causes of a Pseudogestational Sac

Alright guys, let’s get into why a pseudogestational sac might show up. The main culprit here is the surge of hormones that happens really early in pregnancy, specifically human chorionic gonadotropin (hCG). Even if a pregnancy isn’t progressing normally or if it’s an ectopic one, your body still ramps up hCG production. This hormone signals the uterine lining, the endometrium, to prepare for implantation. It causes the lining to thicken and start secreting a nutrient-rich fluid. Think of it like your uterus getting ready for a baby, even if the baby isn’t in the right spot or isn’t developing. This secreted fluid can then gather in the center of the uterine cavity, forming a ring-like structure that looks a lot like a real gestational sac on an ultrasound. It’s essentially a phantom sac, a sort of echo of what a pregnancy should be doing. One of the most common scenarios where you might see a pseudogestational sac is in the context of early pregnancy loss , also known as a chemical pregnancy or an incomplete miscarriage. In these situations, fertilization might have occurred, and the initial hormonal signals are present, but the embryo either doesn’t implant properly or stops developing very early on. The body, however, continues to respond to the hormones for a short period, leading to the formation of this fluid collection. Another critical situation where a pseudogestational sac can be a significant finding is in ectopic pregnancy . This is when a fertilized egg implants outside the uterus, most often in a fallopian tube. Because the egg isn’t in the uterus, a true gestational sac won’t form there. However, the hormonal signals from the ectopic pregnancy can still cause the uterine lining to thicken and secrete fluid, leading to the appearance of a pseudogestational sac on an ultrasound. This can be a really tricky diagnostic situation because the presence of a pseudogestational sac alongside signs suggestive of an ectopic pregnancy (like an empty uterus when hCG levels are high enough to expect to see something) can be a red flag. It highlights the importance of a thorough ultrasound examination by an experienced radiologist or sonographer. They aren’t just looking for the sac itself, but also its characteristics – is it a perfect circle or oval? Is there a yolk sac or embryo visible within it? Is there fluid around it? The diagnosis is key because managing a pseudogestational sac depends entirely on the underlying cause. If it’s related to a non-viable intrauterine pregnancy, the management might be different than if it’s associated with a potentially life-threatening ectopic pregnancy. So, while it sounds a bit mysterious, understanding the hormonal cascade and the uterine lining’s response really helps demystify why this phantom sac appears. It’s a complex interplay, but a vital clue for doctors assessing early pregnancy.

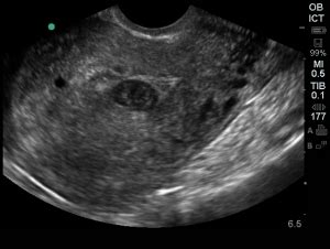
Pseudogestational Sac vs. True Gestational Sac: Key Differences

So, let’s break down the nitty-gritty: how do doctors tell the difference between a pseudogestational sac and the real deal , the true gestational sac that’s nurturing your future little one? Guys, this is where the magic of ultrasound and the expertise of medical professionals really shine. It’s not just about seeing a sac; it’s about what kind of sac it is and what’s inside it. A true gestational sac is the very first structure that becomes visible on an ultrasound in early pregnancy, usually around 5 weeks gestation. It’s a round or oval-shaped cavity within the decidua (the specialized lining of the uterus during pregnancy). Crucially, a true gestational sac will contain a yolk sac , and shortly after, an embryo . The yolk sac is vital because it provides nourishment to the developing embryo in these earliest stages. The sac itself typically has a distinct, thick, echogenic (bright) rim, which represents the early developing chorionic villi and decidua. Think of it as having a defined, well-formed boundary. On the other hand, a pseudogestational sac is an intra-uterine fluid collection . It forms because the decidua reacts to pregnancy hormones by secreting fluid, which then pools in the center of the uterine cavity. Because it’s just fluid, it typically lacks that well-defined, thick, echogenic rim seen in a true sac. Instead, its walls are often thinner and less distinct. Furthermore, and this is the most important distinction, a pseudogestational sac will not contain a yolk sac or an embryo . It’s an empty space. Sometimes, you might see a double-lining appearance within the pseudogestational sac, which can be misleading, but it’s still not the characteristic thick, bright ring of a true gestational sac. The location can also be a clue. A true gestational sac is typically found implanted eccentrically within the uterine cavity – meaning it’s off to one side, nestled into the uterine lining. A pseudogestational sac, being a collection of fluid in the center, is often located more centrally within the uterus. Doctors use all these subtle clues together. They measure the size of the sac, assess the thickness and appearance of its walls, look for the presence and characteristics of a yolk sac and embryo, and note its position within the uterus. They also correlate these ultrasound findings with the patient’s hCG levels and menstrual history. For instance, if a woman’s hCG levels are high enough that a gestational sac should be visible (typically above 1500-2000 mIU/mL on a transvaginal ultrasound), but the ultrasound shows only a pseudogestational sac and no intrauterine pregnancy, it raises a significant concern for either an early, non-viable intrauterine pregnancy or an ectopic pregnancy . This careful differentiation is absolutely paramount for guiding the correct medical management and ensuring the best possible outcome for the patient.

Diagnostic Process for Pseudogestational Sacs

So, how do doctors figure out if what they’re seeing on the ultrasound is a pseudogestational sac or a real pregnancy sac? Guys, the diagnostic process is usually quite straightforward, but it relies heavily on a combination of imaging and biological markers. The primary tool is, of course, the ultrasound. When a woman presents with symptoms of early pregnancy, such as a missed period, spotting, or pelvic pain, and her pregnancy test (the hCG blood test) is positive, an ultrasound is typically ordered to confirm the location and viability of the pregnancy. During the ultrasound, the sonographer or radiologist will carefully examine the uterus. They are looking for the presence of a gestational sac. If a sac-like structure is seen, they will meticulously assess its characteristics. As we discussed, a true gestational sac is typically round or oval, implanted eccentrically within the uterine lining, and has a thick, bright (echogenic) wall. Most importantly, it will contain a visible yolk sac and, by a certain stage (usually around 6-7 weeks), an embryo with cardiac activity. In contrast, a pseudogestational sac will often appear more irregular in shape, located more centrally in the uterus, and will have thinner, less defined walls. The defining feature is the absence of a yolk sac or embryo within it. The surrounding fluid might also appear different. hCG levels play a crucial supporting role in this diagnosis. Human chorionic gonadotropin (hCG) is the hormone detected by pregnancy tests. In a normal intrauterine pregnancy, hCG levels typically double every 48-72 hours in the early weeks. Doctors use these levels in conjunction with ultrasound findings. There’s a