Pulmonary Vs Interstitial: Key Differences & Insights

K.Notikumi 80 views
Pulmonary Vs Interstitial: Key Differences & Insights

Pulmonary vs. Interstitial: Understanding the Key Differences

Hey guys! Ever found yourself scratching your head trying to understand the difference between pulmonary and interstitial when talking about lung conditions? You’re not alone! These terms pop up a lot, and it’s super important to know what they mean to really grasp what’s going on with your respiratory health. So, let’s break it down in a way that’s easy to understand, no jargon or complicated medical speak, promise!

First off, when we say pulmonary , we’re generally talking about anything that has to do with the lungs. Simple, right? This could include the airways, the air sacs (alveoli), the blood vessels in the lungs, and even the membranes that surround the lungs. So, if a doctor says you have a pulmonary issue, it means the problem is somewhere in this whole lung system. On the other hand, interstitial refers to a specific part of the lung: the interstitium. This is the tissue that surrounds and supports the air sacs. It’s like the scaffolding that holds everything in place. When we talk about interstitial lung disease (ILD), we’re talking about conditions that affect this supportive tissue, often causing inflammation and scarring. Now, the tricky part is that many pulmonary diseases can also involve the interstitium , and vice versa, but understanding the core difference helps a lot.

Diving Deeper into Pulmonary Conditions

So, let’s dive deeper into pulmonary conditions . When we say something is pulmonary , we’re talking about anything related to the lungs. Think of pulmonary as an umbrella term that covers a whole bunch of different issues. For instance, chronic obstructive pulmonary disease (COPD) is a big one, which includes conditions like emphysema and chronic bronchitis. These diseases make it hard to breathe because the airways become blocked or damaged. Asthma is another common pulmonary condition, where the airways can become inflamed and narrow, leading to wheezing, coughing, and shortness of breath. And then there are infections like pneumonia and bronchitis, which directly affect the lungs and airways. Even lung cancer falls under the pulmonary umbrella. The key takeaway here is that pulmonary issues can involve any part of the lung, from the big airways down to the tiniest air sacs. They can be caused by a variety of things, including smoking, infections, genetics, and environmental factors. When doctors diagnose pulmonary diseases, they use a range of tests like chest X-rays, CT scans, and pulmonary function tests to figure out exactly what’s going on and where the problem is located within the lung.

Understanding Interstitial Lung Diseases (ILDs)

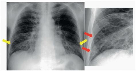
Now, let’s zoom in on interstitial lung diseases ( ILDs ). Remember, the interstitium is the tissue that surrounds and supports the air sacs in your lungs. So, ILDs are a group of disorders that specifically affect this tissue. Unlike pulmonary diseases that might involve the airways or air sacs directly, ILDs primarily target the interstitium, causing inflammation and scarring (fibrosis). One of the most well-known ILDs is idiopathic pulmonary fibrosis ( IPF ), where the cause of the scarring is unknown. Other ILDs can be caused by autoimmune diseases like rheumatoid arthritis or lupus, environmental exposures like asbestos, or certain medications. The symptoms of ILDs often include shortness of breath, a dry cough, and fatigue. Because the interstitium is damaged, it becomes harder for oxygen to pass from the air sacs into the bloodstream. Diagnosing ILDs can be tricky because many of them have similar symptoms. Doctors often use a combination of imaging tests (like high-resolution CT scans), lung function tests, and sometimes even lung biopsies to make an accurate diagnosis. The treatment for ILDs varies depending on the specific disease and how severe it is, but it often includes medications to reduce inflammation and slow down the progression of scarring. Pulmonary rehabilitation and oxygen therapy can also help manage symptoms and improve quality of life.

Key Differences: Pulmonary vs. Interstitial

Alright, let’s nail down the key differences between pulmonary and interstitial . Think of it this way: pulmonary is the broad category, while interstitial is a specific subset. Pulmonary refers to anything related to the lungs, including the airways, air sacs, blood vessels, and the interstitium. Interstitial , on the other hand, specifically refers to the tissue surrounding the air sacs. So, all interstitial diseases are pulmonary diseases, but not all pulmonary diseases are interstitial diseases. For example, asthma is a pulmonary disease because it affects the airways, but it’s not an interstitial disease because it doesn’t primarily target the interstitium. Similarly, pneumonia is a pulmonary infection that mainly affects the air sacs, not the interstitium. But idiopathic pulmonary fibrosis ( IPF ) is both a pulmonary and an interstitial disease because it specifically involves scarring of the interstitium. Another key difference is in the types of conditions that fall under each category. Pulmonary diseases include a wide range of issues, from infections and obstructive diseases to cancers. Interstitial diseases, on the other hand, are a more specific group of disorders characterized by inflammation and scarring of the interstitium. Understanding this distinction is super helpful when you’re trying to understand a diagnosis or research different lung conditions.

Overlap and Connections Between Pulmonary and Interstitial Conditions

Now, let’s talk about the overlap and connections because things can get a bit intertwined! While we’ve been emphasizing the differences, it’s important to remember that pulmonary and interstitial conditions can often influence each other. For example, someone with a chronic pulmonary disease like COPD might develop interstitial changes over time. The chronic inflammation and damage from COPD can sometimes lead to scarring in the interstitium. Similarly, certain interstitial lung diseases can increase the risk of developing other pulmonary complications. For instance, people with IPF are more susceptible to lung infections and pulmonary hypertension (high blood pressure in the lungs). Additionally, some systemic diseases can affect both the pulmonary system and the interstitium. Autoimmune diseases like rheumatoid arthritis and lupus can cause inflammation in both the airways and the interstitium, leading to a combination of pulmonary and interstitial problems. This overlap means that doctors often need to take a comprehensive approach when evaluating and treating lung conditions. They need to consider the possibility of both pulmonary and interstitial involvement and tailor the treatment plan accordingly. It also highlights the importance of ongoing monitoring and management to prevent complications and maintain lung health.

Diagnosing and Treating Pulmonary and Interstitial Issues

So, how do doctors diagnose and treat these pulmonary and interstitial issues? Well, the process usually starts with a thorough medical history and physical exam. Your doctor will ask about your symptoms, past illnesses, and any exposures that might be relevant (like smoking or exposure to asbestos). They’ll also listen to your lungs with a stethoscope to check for any abnormal sounds, like wheezing or crackles. If they suspect a pulmonary or interstitial problem, they’ll likely order some imaging tests. A chest X-ray is often the first step, as it can help identify obvious abnormalities like infections or tumors. However, for a more detailed look, a high-resolution CT scan is usually necessary. This can provide a much clearer picture of the lungs and help identify subtle changes in the interstitium. Pulmonary function tests are also crucial. These tests measure how much air you can inhale and exhale, and how quickly you can move air in and out of your lungs. They can help determine the severity of any pulmonary or interstitial disease and track its progression over time. In some cases, a lung biopsy may be needed to make a definitive diagnosis. This involves taking a small sample of lung tissue for examination under a microscope. As for treatment, it really depends on the specific condition. For infections, antibiotics or antiviral medications may be used. For obstructive diseases like COPD and asthma, bronchodilators and inhaled corticosteroids can help open up the airways and reduce inflammation. For interstitial lung diseases, medications that suppress the immune system or reduce inflammation may be prescribed. Pulmonary rehabilitation, which includes exercise training and education, can also be very helpful for improving lung function and quality of life. And in some cases, oxygen therapy may be needed to help maintain adequate oxygen levels in the blood.

Lifestyle and Prevention Tips for Lung Health

Finally, let’s chat about some lifestyle and prevention tips to keep your lungs in tip-top shape! First and foremost, if you smoke, quit ! Smoking is the number one cause of pulmonary diseases, including COPD, lung cancer, and many interstitial lung diseases. Quitting can be tough, but it’s the best thing you can do for your lung health. Avoid exposure to environmental pollutants, like air pollution, dust, and chemicals. If you work in an environment where you’re exposed to these substances, make sure to wear appropriate protective gear. Stay up-to-date on your vaccinations. Flu and pneumonia vaccines can help prevent lung infections that can lead to serious complications. Practice good hygiene. Wash your hands frequently to prevent the spread of germs that can cause respiratory infections. Exercise regularly. Physical activity can help improve your lung function and overall fitness. Eat a healthy diet. A balanced diet can help boost your immune system and protect your lungs from damage. And finally, see your doctor regularly for checkups. Early detection and treatment of pulmonary and interstitial diseases can help prevent them from progressing and causing serious health problems. By following these simple tips, you can help keep your lungs healthy and breathe easier for years to come!

So there you have it, a breakdown of pulmonary versus interstitial lung issues. Hopefully, this clears up any confusion and helps you better understand your lung health! Stay healthy, everyone!