Understanding Huntington's Disease: Symptoms & Support
Understanding Huntington’s Disease: Symptoms & Support
Hey there, guys! Ever heard of Huntington’s Disease ? It’s a pretty heavy topic, but it’s super important to understand, especially since it’s often misunderstood as something complex or even “three diseases in one” because of how it impacts people in so many different ways. This isn’t just about some physical tremors; it’s a full-body and mind challenge. Think of it as a neurodegenerative condition that slowly, progressively, and relentlessly attacks nerve cells in your brain, leading to a wide range of incredibly tough symptoms that touch every aspect of a person’s life. We’re talking about a genetic disorder that affects movement, thinking (cognitive abilities), and even a person’s emotional state or mental health. So, if you or someone you know is grappling with this, or if you’re just curious and want to be a more informed, empathetic human being, you’ve come to the right place. We’re going to break down Huntington’s Disease in a friendly, easy-to-understand way, looking at its symptoms, what causes it, and how folks navigate living with it.
Table of Contents
- What Exactly Is Huntington’s Disease, Guys?
- The Three Faces of Huntington’s: Motor, Cognitive, and Psychiatric Symptoms
- Motor Symptoms: The Unpredictable Movements
- Cognitive Decline: Impacting Thinking and Memory
- Psychiatric Challenges: Emotional Rollercoasters
- How Does Huntington’s Disease Happen? The Genetic Link
- Living with Huntington’s: Support and Management
- Medical Management: Treatments and Therapies
- Emotional and Social Support: A Community Effort
- The Road Ahead: Research and Hope
What Exactly Is Huntington’s Disease, Guys?
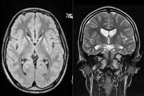
So, what’s the deal with Huntington’s Disease (HD), really? At its core, HD is a progressive neurodegenerative disorder – that’s a fancy way of saying it’s a condition where brain cells gradually break down and die over time. This breakdown leads to problems with movement, thinking, and psychiatric issues, which is why some might mistakenly think of it as “three diseases in one” – it truly is a comprehensive challenge to the entire person. Unlike some other neurological conditions, Huntington’s Disease is inherited , meaning it’s passed down through families. If one of your parents has the gene that causes HD, you have a 50% chance of inheriting it yourself. It doesn’t skip generations, guys; if you have the gene, you’ll eventually develop the disease. Most people start showing symptoms in their 30s or 40s, but it can hit earlier (juvenile HD) or later (late-onset HD), making its timing incredibly unpredictable and often devastating for families. The gene responsible for HD is called the HTT gene, and it’s located on chromosome 4. A specific mutation in this gene, an expanded CAG trinucleotide repeat, is the culprit. When this repeat sequence gets too long, it produces an abnormal protein called huntingtin , which is toxic to certain brain cells, particularly in areas like the basal ganglia, crucial for movement control, and the cortex, vital for thinking and emotion. As these critical brain cells deteriorate, the person’s abilities slowly but surely decline. This isn’t just a physical battle; it’s a mental and emotional one, too, making comprehensive support absolutely vital for anyone living with Huntington’s Disease and their families. Understanding this fundamental genetic cause is the first step in appreciating the complexities and the challenges faced by those affected, emphasizing why early diagnosis and ongoing support are so crucial.
The Three Faces of Huntington’s: Motor, Cognitive, and Psychiatric Symptoms
When we talk about Huntington’s Disease , it’s not just one thing; it really does present like a “triple threat” affecting motor control, cognitive function, and mental health. These three main categories of symptoms often appear and progress differently in each individual, making the disease incredibly unpredictable and challenging to manage. Understanding each facet is key to providing comprehensive care and support. The cumulative effect of these symptoms can significantly impact a person’s independence, quality of life, and relationships. It’s truly a relentless journey that requires immense resilience from both the person affected and their loved ones. Let’s dive into each of these areas, exploring how Huntington’s Disease manifests and what kind of challenges it presents.
Motor Symptoms: The Unpredictable Movements
One of the most recognizable and often distressing aspects of Huntington’s Disease is the array of motor symptoms it causes. We’re talking about movements that are beyond a person’s control, often appearing as jerky, random, and uncoordinated actions. The most famous of these is undoubtedly chorea – a term derived from the Greek word for “dance,” which perfectly describes the involuntary, dance-like movements that can affect any part of the body. Imagine someone constantly fidgeting, writhing, or flailing their limbs, torso, or head without meaning to. It’s not just a little twitch, guys; it can be quite pronounced, making everyday tasks incredibly difficult. Picture trying to drink a glass of water, eat a meal, or even just sit still when your body seems to have a mind of its own. This isn’t a sign of being clumsy or uncoordinated in the usual sense; it’s a direct consequence of the brain damage caused by Huntington’s Disease . Beyond chorea, people with HD can also experience dystonia , which involves sustained muscle contractions leading to twisting, repetitive movements or abnormal fixed postures. This can make walking, standing, or even holding objects a real struggle, sometimes causing painful muscle cramps and stiffness. Gait and balance issues are also incredibly common; falls become a significant risk as coordination deteriorates, making independent mobility increasingly challenging and unsafe. Speech becomes slurred ( dysarthria ) and difficult to understand, making communication frustrating for both the individual and their conversation partners. Swallowing difficulties ( dysphagia ) are another serious concern, increasing the risk of choking and aspiration pneumonia, which can be life-threatening. These motor symptoms don’t just affect physical independence; they can also lead to social isolation, embarrassment, and a profound loss of dignity. It’s crucial to remember that these movements are involuntary, and patience, understanding, and adaptive strategies are paramount for those supporting someone with Huntington’s Disease .
Cognitive Decline: Impacting Thinking and Memory
Beyond the visible physical challenges, Huntington’s Disease also inflicts significant damage on a person’s cognitive abilities, essentially their capacity for thinking, reasoning, and remembering. This aspect of the disease is often less obvious to outsiders but can be just as, if not more, debilitating than the motor symptoms for the individual experiencing it. Early on, people with HD might notice subtle changes in their ability to focus or concentrate . Tasks that once seemed simple, like following a recipe or managing finances, become increasingly overwhelming and difficult to complete. Their memory can also take a hit, making it hard to recall recent events, learn new information, or even recognize familiar faces or places as the disease progresses. It’s not just about forgetting names, guys; it’s about a broader impairment in executive functions – those high-level brain skills we use for planning, organizing, problem-solving, and making decisions. Imagine trying to navigate your day when your brain struggles to string together logical steps, evaluate options, or even initiate simple actions. This can manifest as difficulty with multitasking , impaired judgment , leading to poor decisions that can have serious consequences, or an inability to adapt to new situations. Processing speed often slows down considerably, meaning it takes much longer to understand conversations or react to stimuli. Communication can become challenging not only because of speech difficulties but also due to difficulties in finding the right words ( aphasia ) or understanding complex instructions. This cognitive decline profoundly impacts a person’s independence, making it hard to maintain employment, manage daily responsibilities, and even engage in social interactions. It’s a silent battle that erodes a person’s sense of self and their ability to navigate the world effectively. Understanding and adapting to these cognitive changes with patience and structured support is absolutely vital for caregivers and loved ones, helping to maintain as much quality of life as possible for individuals living with Huntington’s Disease .
Psychiatric Challenges: Emotional Rollercoasters
While the motor and cognitive symptoms of Huntington’s Disease are often discussed, the psychiatric challenges are arguably just as prevalent and often emerge even before any physical signs. These can be incredibly tough to deal with, both for the person experiencing them and for their families, sometimes making it feel like a completely different illness is at play. We’re talking about a wide spectrum of emotional and behavioral issues that stem directly from the brain changes caused by HD. Depression is incredibly common, affecting a large percentage of individuals with HD, and it’s not just a natural response to receiving a devastating diagnosis. It’s a clinical depression caused by the neurodegeneration itself, often severe and requiring proactive treatment. Coupled with depression, anxiety is also highly prevalent, manifesting as generalized worry, panic attacks, or social phobia, making it difficult for people to feel comfortable or safe. Irritability and mood swings can become pronounced, leading to sudden outbursts of anger or frustration that are completely out of character for the individual. Imagine someone you know becoming unexpectedly aggressive or extremely difficult to reason with; it’s the disease, not the person. These emotional upheavals can strain relationships, leading to feelings of guilt, confusion, and fear for everyone involved. Beyond these, some individuals may develop obsessive-compulsive behaviors (OCD-like symptoms), where they get stuck on certain thoughts or repetitive actions, or experience impulsivity , leading to risky behaviors or poor decision-making without considering the consequences. In later stages, or sometimes even earlier, more severe psychiatric symptoms like psychosis (hallucinations or delusions) can occur, although these are less common than depression or anxiety. The mental health aspect of Huntington’s Disease is profoundly challenging because it alters a person’s personality and emotional landscape, often before physical symptoms make the disease apparent. It underscores the critical need for early psychological support, counseling, and, when necessary, medication to manage these difficult symptoms, ensuring that the person with HD, and their caregivers, receive comprehensive and compassionate care.
How Does Huntington’s Disease Happen? The Genetic Link
So, after hearing about all these challenging symptoms, you might be wondering, “How exactly does someone get Huntington’s Disease , guys?” Well, it all comes down to genetics. Unlike many conditions that have various risk factors, HD is purely genetic . It’s caused by a single faulty gene called the HTT gene, located on chromosome 4. This gene contains a repetitive section of DNA made up of a sequence of three chemical bases: C-A-G. In most people, this CAG sequence repeats itself between 10 to 35 times. But in individuals with Huntington’s Disease , this CAG repeat sequence is expanded – meaning it repeats 36 times or more. The more repeats there are, generally, the earlier the onset and potentially faster progression of the disease. This genetic mutation is autosomal dominant , which is a fancy way of saying you only need one copy of the faulty gene to develop the disease. If one of your biological parents has Huntington’s Disease , you have a 50% chance of inheriting the mutated gene yourself. It’s a flip of a coin every time. If you don’t inherit the gene, you’ll never develop HD and can’t pass it on to your children. But if you do inherit it, you will eventually develop the disease, and each of your children will then face that same 50% risk. This predictable inheritance pattern is why genetic counseling and predictive testing are such critical components for families affected by Huntington’s Disease . It allows at-risk individuals to make informed decisions about their future, family planning, and participation in research. Understanding this clear genetic link is crucial for anyone trying to grasp the fundamental nature of HD.
Living with Huntington’s: Support and Management
Living with Huntington’s Disease is a journey that requires an immense amount of courage, resilience, and, perhaps most importantly, a robust network of support. Since there’s currently no cure for HD, management focuses on alleviating symptoms, maintaining function, and maximizing the quality of life for as long as possible. This isn’t just about taking a pill; it’s a comprehensive approach that often involves a team of healthcare professionals working together. Think of it as a marathon, not a sprint, where every bit of support, every therapeutic intervention, and every compassionate act can make a significant difference in navigating the complexities of this disease. The goal is always to empower individuals with HD to live as fully and comfortably as they can, surrounded by understanding and care. Let’s look at the different facets of support and management that are crucial in this ongoing battle.
Medical Management: Treatments and Therapies
When it comes to Huntington’s Disease , medical management primarily focuses on symptomatic relief because, as we mentioned, there isn’t a cure yet. For the disruptive involuntary movements, chorea , specific medications like tetrabenazine (Xenazine) or deutetrabenazine (Austedo) are often prescribed. These drugs work by affecting neurotransmitters in the brain, helping to reduce the severity of chorea, though they don’t stop the underlying progression of the disease. However, managing HD goes far beyond just chorea medication, guys. Addressing the psychiatric symptoms is equally vital. Antidepressants are commonly used to treat depression and anxiety, while antipsychotic medications can help with severe mood swings, agitation, or, in some cases, psychotic symptoms. For cognitive challenges, while there are no specific medications, strategies like structured routines, memory aids, and cognitive behavioral therapy can be incredibly helpful. Beyond medication, a range of therapies plays a crucial role. Physical therapy helps maintain flexibility, balance, and mobility, adapting exercises as the disease progresses to prevent falls and improve functional independence. Occupational therapy focuses on adaptive strategies for daily living activities, such as eating, dressing, and personal hygiene, providing tools and techniques to overcome physical limitations. Speech therapy is indispensable for addressing communication difficulties and, critically, for managing swallowing problems ( dysphagia ), helping to reduce the risk of choking and aspiration. Nutritional support is also key, as weight loss is common in HD due to the constant involuntary movements and difficulty eating; dietitians can help ensure adequate caloric intake. This multidisciplinary approach is essential for comprehensive care, helping individuals with Huntington’s Disease manage their symptoms effectively and maintain their quality of life for as long as possible, showcasing the dedication of medical professionals to improving outcomes.
Emotional and Social Support: A Community Effort
Battling Huntington’s Disease isn’t just a physical or cognitive fight; it’s an intense emotional and social one, too, for everyone involved. That’s why building a strong network of emotional and social support is absolutely non-negotiable, guys. For the person with HD, coping with progressive decline, loss of independence, and personality changes can be incredibly isolating and lead to deep emotional distress. For family members and caregivers, witnessing a loved one transform, taking on increasing caregiving responsibilities, and facing the genetic implications can be overwhelming. This is where support groups become lifelines. Connecting with others who understand what you’re going through, who share similar experiences, and who can offer practical advice or simply a listening ear, provides an invaluable sense of community and reduces feelings of isolation. Organizations like the Huntington’s Disease Society of America (HDSA) or similar national and international associations are fantastic resources, offering education, advocacy, and local support networks. Counseling and psychotherapy for both individuals with HD and their family members can provide coping strategies, help process grief and loss, and manage the psychological impact of the disease. Caregiver support is particularly crucial; caregivers often face immense physical and emotional burdens, and burnout is a real risk. Respite care, educational resources, and opportunities for self-care are essential to help them continue providing high-quality care without sacrificing their own well-being. Furthermore, maintaining social connections and engaging in activities that bring joy, even if adapted, helps preserve a sense of purpose and normalcy. It truly takes a village to support someone with Huntington’s Disease , emphasizing that a compassionate community effort is fundamental for fostering emotional resilience and maintaining social well-being throughout this challenging journey.
The Road Ahead: Research and Hope
Despite the formidable challenges posed by Huntington’s Disease , there’s a powerful and growing sense of hope driven by incredible advances in scientific research. Guys, this isn’t a static fight; the scientific community is working relentlessly to unravel the mysteries of HD and, more importantly, to find effective treatments and ultimately a cure. This commitment to research is what fuels optimism for the future. We’re seeing intense efforts in understanding the basic biology of the HTT gene mutation and how the toxic huntingtin protein damages brain cells. This fundamental understanding is absolutely crucial because it lays the groundwork for developing targeted therapies. There are multiple promising avenues currently being explored. Gene-silencing therapies , for example, aim to reduce the production of the harmful huntingtin protein, potentially slowing or even stopping the disease’s progression. Several of these are already in clinical trials , which is a huge step forward, testing their safety and efficacy in human volunteers. Researchers are also investigating neuroprotective strategies to shield brain cells from damage and regenerative medicine approaches, including stem cell research, to potentially repair damaged areas of the brain. The development of biomarkers – measurable indicators of the disease’s presence or progression – is also critical, as it allows for earlier diagnosis and better monitoring of treatment effects. International collaboration among researchers, patient advocacy groups, and pharmaceutical companies is accelerating the pace of discovery. While a cure isn’t here yet, the sheer volume and quality of research currently underway offer a tangible reason for optimism. Every day brings us closer to new breakthroughs, promising a future where Huntington’s Disease can be effectively managed, treated, or even prevented. It’s a powerful reminder that even in the face of daunting medical challenges, the human spirit of inquiry and innovation continues to shine, offering immense hope to individuals and families affected by HD worldwide.
So there you have it, folks. Huntington’s Disease is a truly complex, multifaceted condition that profoundly impacts individuals and their loved ones through its motor, cognitive, and psychiatric symptoms. It’s tough, no doubt, but understanding it is the first step towards offering better support, more effective management, and, eventually, finding a cure. Remember, you’re not alone in this journey. With ongoing research, dedicated healthcare professionals, and a strong community, there is always hope. Keep learning, keep supporting, and keep advocating!